Self-driven Jaw Expanders in Special Needs

Rapid Maxilla Expansion

Your upper jaw bone forms in two halves joined together by a palate suture. These sutures close as early as when a patient reaches 12–13 years of age. Once the adult bone structure is set it can no longer undergo expansion unless it is assisted by a surgeon. The chances of successfully expanding the maxillary bony base, therefore, decline with the patient’s age. When the arch is narrow the loss of space leads to crowding of teeth with the eruption of the lateral incisors and canines into irregular alignment. However, if we could widen the upper jaw bone it will lead to more space dentition. As a result of which problem of crossbite, crowding, malalignment, abnormal positioning of teeth could be averted well in time.

The cause of malalignment such as crossbite can be due to associated habits such as nonnutritive sucking, airway obstruction leading to mouth breathing, lowered tongue posture, and short duration of breastfeeding. It is also commonly seen among children of Down syndrome and cerebral palsy given to their hypotonia (decreased muscle tone) of the tongue. Prevalence of crossbite ranges from 6 to 30% in the general population, but since it is not a self-correcting condition it should be treated as soon as it is diagnosed by means of maxillary expansion devices. The ideal age for a child to get a palate expander is when they’re young, around 7 to 8 years old. The palate is forming rapidly, so it’s easier to reshape.

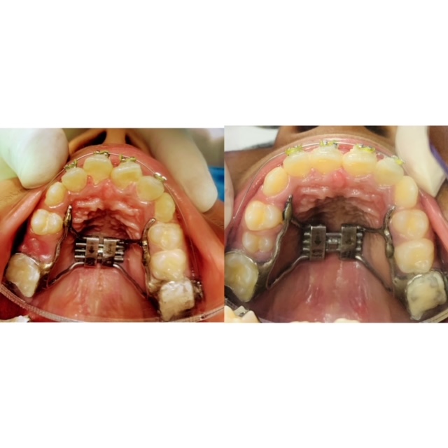
RME Rapid Maxillary Expansion (sometimes called rapid palatal expansion) is a technique used to widen (expand) your upper jaw (palate) when it is narrow. The expander appliance is a fixed brace made from a mould of your teeth to fit your mouth only. It is fixed to the upper teeth. You cannot remove it without your dentist’s help. The RME moves these two halves apart and holds them there while new bone fills in the “gap” under the gum. The metal framework contains an expansion screw in the middle to widen the upper jaw. It is attached to metal bands cemented on the back teeth or to a plastic splint which is cemented firmly to the back teeth. The expansion screw in the metal framework needs to be turned, usually twice a day or as instructed by your dentist for which a special key is given to you for this purpose.

In young patients with special needs and those who must periodically undergo MRI ( such as epilepsy, autism, or vascular problems) or for whom it would be difficult to self activate a palatal expander due to muscle weakness or compliance problems and even those with allergy or hypersensitivity to metal; a metal-free fixed maxillary expander will be advantageous. The new concept of “self-driving orthodontics” is the new goal of future orthodontics which utilizes a fully pre-programmed digital analysis along with project printing and includes digitally monitored changes during and after therapy. The design of the device starts from an intraoral scan. It requires an initial virtual setup of the STL files for expansion of the upper arch; after the project is generated the relative STL file is used for the milling process (for PEEK) and 3D printing (for PA12) of the product appliance.  

The RME appliance has to be worn for a period of 3-9 months. In the initial course of 2-3 weeks, the upper jaw bone widens (up to 6mm). In the remaining months, it is left alone to allow new bone to fill in the gap under the gum between the two halves of the upper jaw. Treatment is mostly completed with a fixed brace to straighten your teeth. The Expander, due to its shape memory, progressively expands like a compressed spring in a very controlled and comfortable way.

The new device holds a promise to rectify jaw discrepancy and arch alignment among children with special needs without much intervention and need not be removed in case of radiographic procedure or MRI.

Published by Divya Nigam

I am a pediatric dentist dedicated to my patients, parents, staff and community. I enjoy sharing knowledge and experience with the children and parents enabling them to learn the importance of good oral health. My interest are in managing oral trauma in young and adults. Working in the present scenario I found out unawareness and lack of knowledge among the present youth for using mouth guard for all contact sports and I believed it should be made mandatory . My special interest is in treating deferentially able and special needs children ,I believe this group needs urgent and significant dental assessment and care. I am always thriving to work and bring that change for this neglected group.

Leave a comment

Design a site like this with WordPress.com
Get started